Search Dental Tribune

מאמרים

לְסַנֵן

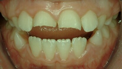
שכיחות חבלות בשיניים בעולם

שמונים וחמישה אחוז מכלל המטופלים מראים פגיעה באזור האורלי, זאת למרות שהאזור האורלי ...

לשמור

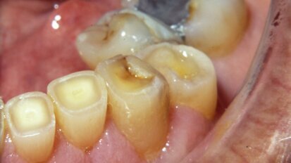
סילוק עששת סלקטיבי בנגעי עששת עמוקים לעומת סילוק עששת בשני שלבים

הטיפול הקונבנציונאלי בנגעי עששת מורכב מהסרה מלאה של הרקמה העששתית ולאחר מכן שחזור ...

לשמור

ראיון קצר עם ד"ר יצחק חן, יו"ר ההסתדרות לרפואת שיניים בישראל על ביטוח סיעודי לחברי הר"ש.

לאחרונה התפרסם כי בוטלו כל הסדרי הביטוח הסיעודי הקיבוצי. גם חברי הר"ש קיבלו הודעות על ...

לשמור

דיאטה אינה האשמה היחידה בגרימת ארוזיה בשיניים

יחד עם עששת שיניים ומחלת חניכיים, ארוזיה מדורגת בין שלושת מחלות השיניים הנפוצות ...

לשמור

היהלום החדש בכתר של הסריקה האינטרא אוראלית – Planmeca Emerald

סורק הפה החדש Planmeca Emerald מציב רף גבוה ליצירת טביעת שיניים דיגיטלית. עם מהירות ודיוק ...

לשמור

פוליפנולים עשויים למנוע עששת ומחלות חניכיים

זה זמן רב מרמזות עדויות שללגימת יין אדום יש מספר יתרונות בריאותיים לגוף, אולי בגלל ...

לשמור
advertisement

פרופ' אדי גרפונקל. ראיון

לפני זמן מה הלך מאיתנו פרופ' אדי גרפונקל. רופא שיניים, מומחה ברפואת הפה, מורה, מרצה, חבר ...

לשמור

אקופונקטורה בטיפול בקסרוסטומיה, חרדה דנטלית ורפלקס הקאה

טיפול אלטרנטיבי כאקופונקטורה נמצא יעיל בטיפול ביובש פה, חרדה דנטלית וברפלקס הקאה

לשמור

אין ראיות לקשר בין מחלת חניכיים ודלקת פרקים שגרונית

 שטוקהולם, שוודיה: מחקרים שונים הראו קשר בין דלקת פרקים שגרונית (RA) ומחלת חניכיים, ...

לשמור

המועצה הדנית לצרכנות מזהה משחות שיניים עם חומרים בעייתיים

 קופנהאגן, דנמרק: מתוך הערכת מרכיבים של 32 משחות שיניים, המועצה הדנית לצרכנות העניקה ...

לשמור

תערוכת קריקטורות של אוניברסיטת מלבורן חוקרת את ההיסטוריה של רפואת שיניים

 מלבורן, אוסטרליה: תערוכה חדשה, זהו גז! רפואת שיניים & קריקטורות, של אוניברסיטת ...

לשמור

גילויים חדשים יכולים להוביל לטיפול טוב יותר של בעיות יובש בפה

 רוצ'סטר, ניו יורק / ונקובר, קנדה: הפרעה בהפרשת רוק (הפסקה מוחלטת או ירידה בכמות) ...

לשמור
advertisement

ראיון: "אנחנו שואפים להקל על היגיינת הפה מחוץ לבית”

מאז הקמתו בשנת 1965, חברת טיפוח גהות הפה שוודית Te Pe הדגישה את חשיבות שיתוף פעולה מקצועי ...

לשמור

IDS 2017: כבר יותר מ -1,400 מציגים רשומים

קלן, גרמניה: מארגני התערוכה הדנטלית הבינלאומית הדו-שנתית (IDS, Koelnmesse) הודיעו על נתוני ...

לשמור

דנטל טריביון משיק מגזין אורתודונטי בינלאומי חדש

לייפציג, גרמניה: מגזר אורתודונטי גדל באופן משמעותי בתוך 20 השנים האחרונות בשל ...

לשמור

מחקר קורא לרופאי שיניים להגדיל את תפקידם בטיפול בהפרעות שינה

BUFFALO, N.Y., ארה"ב: הזמן הטוב ביותר לזהות סימנים של דום נשימה חסימתי בשינה עשוי להיות לא ...

לשמור
advertisement

ראיון: רפואת שיניים קוסמטית חזוי עם תבניות

לפני מספר שנים, רופאת שיניים אוסטרליות ד"ר סיגל יעקובסון, זיהתה חסר בשוק דנטלי. היא ...

לשמור

הורים לא מודעים לסיכונים הקשורים לנחירות מתמשכות אצל ילדים

גטבורג, שוודיה: נחירות של ילדים הן נפוצות ולעיתים אף הרות נזק. הפרעות נשימה מתמשכות ...

לשמור

חוסר ראיות: עדיין לא ברור הקשר בין בריאות הפה לבין מצב קוגניטיבי

דורהאם, N.C., ארה"ב: מספר מחקרים הראו כי היגיינת הפה וביקורים סדירים אצל רופא השיניים ...

לשמור

דנטל טריביון בינלאומי: שירותי יחסי ציבור חדשים עבור תעשיית רפואת השיניים

לייפציג, גרמניה: קבוצת פובליקציה DTI הוסיפה שירות חדשני נוסף לפורטפוליו של פובליקציה ...

לשמור
advertisement

נציגי מדינות נפגשו על מנת לזרז את ההסכם הגלובלי בנושא כספית

עמאן, ירדן: מעל 550 נציגים התאספו בירדן במושב השביעי של הוועדה הבין ממשלתית הנושאת ...

לשמור

אפליקצית סמארטפון של יום בריאות הפה העולמי מוכנה

ז'נבה, שוויץ: FDI, הפדרציה העולמית לרפואת שיניים הודיעה כי Mouth Mad, משחק סמארטפון חדש עבור...

לשמור
advertisement

מחקר מגלה רמות כספיות שתן גבוהות בילדים עם סתימות אמלגם

דאגו, דרום קוריאה: למרות הופעת חלופות שוות ערך בעשור האחרון, אמלגם נותר בשימוש כחומר ...

לשמור

תגובת הר״ש באמצעות עו״ד שלמה יוספזון על כתבה של ד״ר חפץ


מרשתי , ההסתדרות לרפואת שיניים בישראל (ע.ר) ( להלן : הר"ש ) העבירה אלי כתבה שפורסמה ...

לשמור

סריקת של החזר אור לייזר משן היא דרך קלה לקדם טיפול עצמי של מטופלים

Oulu, פינלנד: במחקר, שמטרתו הייתה מעקב אחר רמינרליזציה של של מוקדי עששת התחלתיים בעקבות ...

לשמור

פדרציה עולמית של רופאי שיניים יחד עם Royal Philips יקדמו את יום בריאות הפה העולמי 2016

ג׳נבה, שוויץ: פדרציה עולמית לרפואת שיניים יחד עם פיליפס, יצרנית מברשת שיניים Sonicare, ...

לשמור
advertisement

ברמנית מייצרת קיסמי שיניים עם אלכהל

דאלאס, ארה"ב: הקיסם הוא כלי ניקוי שיניים הוותיק ביותר ונמצא בשימוש מאז בני אדם ...

לשמור

בחירות להר״ש! את מי זה מענין?!

ביום שישי ה26 בפברואר יתקיימו בחירות להר״ש. בחירות אלה הוכרזו ב24 בינואר באמצעות דוא״ל ...

לשמור

Fotona משיקה לייזר דנטלי ST PRO Lightwalker

דאלאס, טקסס, ארה"ב: Fotona, שבסיס אם שלה ממקומים בארה"ב ובאירופה, תשיק את מערכת הלייזר...

לשמור

מנכ"ל חברת הדפסה בתלת מימד מקבל כתר מודפס 3-D בהולנד

Soesterberg, הולנד: הדפסת 3-D של כתרים קבועים על גבי שתלים הגיע לציון דרך נוסף. מטופל הולנדי ...

לשמור
advertisement
advertisement