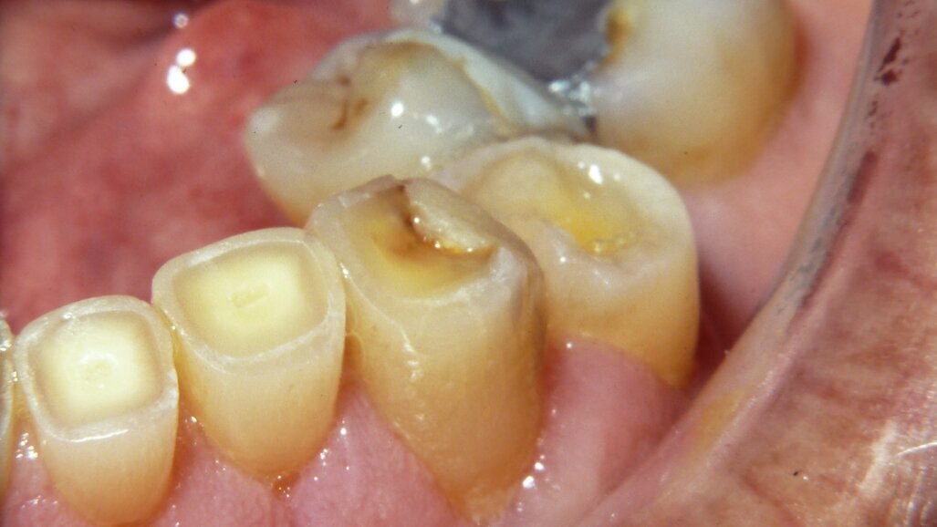
יחד עם עששת שיניים ומחלת חניכיים, ארוזיה מדורגת בין שלושת מחלות השיניים הנפוצות ביותר. על פי מחקר סקירה שנערך על ידי חוקרים בלונדון, מתברר כי הסיבה שאנשים מסוימים סובלים יותר מארוזיה בשיניים יותר מאשר אחרים תלויה לא רק בתזונתם, אלא גם באופן בו הם צורכים משקאות חומציים ומזון. פורסם בדנטל טריביון, מהדורה אירופה
26 בפברואר 2018
החוקרים, ממכון קינגס קולג 'בלונדון, ביקשו לזהות כיצד מנהגים תזונתיים שונים מגבירים את הסיכון לפתח ארוזית שיניים חמורה. המחקר שלהם התבסס על מחקר קודם מבית החולים גאי בלונדון שהשווה את הדיאטה של 300 אנשים עם ארוזיה חמורה לעומת 300 ללא ארוזיה.
החוקרים מצאו כי אלה שנפגעו ביותר לא היו אלה שפשוט צרכו משקאות חומציים או מזון חומצי, אלא אלה שעשו זאת בין הארוחות. אנשים ששתו משקאות חומציים כמו משקאות קלים או תה בטעם פירות פעמיים ביום היו בסיכון גבוה פי 11 לסבול מארוזיה מתונה או חמורה בהשוואה לאלו שלא.
בין קבוצות האוכלוסיה עם פוטנציאל גבוה לארוזיה בשיניים אפשר למנות שותי יין, נהגים הנוהגים מרחקים ארוכים וכן "וידאו גיימרים", שהמכנה המשותף לכולם הוא שהם צורכים משקאות חומציים לאורך זמן. יתר על כן, הנוזל מוחזק בפיהם למשך זמן ממושך, וכך שיניהם חשופות לחומצה במשך זמן רב.
ידוע היטב כי דיאטה חומצית קשורה לארוזיה בשיניים . עם זאת, המחקר הראה את ההשפעה של האופן שבו מזון חומצי ומשקאות נצרכים, אמרה המחברת והראשית ד"ר ס. או'טול, מרצה קלינית בנושא תותבות.
היא המשיכה וטענה כי עם העלייה בשכיחות ארוזיה בשיניים, יש להדגיש ביתר חשיבות היבטים הקשורים למניעת התופעה כגון הפחתת צריכת תזונה חומצית כדי לעכב התקדמות הארוזיה. את הסיכון שנגרם משתיית משקאות קלים, למשל, ניתן להפחית בחצי אם משקאות אלה נצרכים במהלך הארוחות ולא בין הארוחות.
"למרות ששינוי התנהגות יכול להיות קשה להשגה, התערבויות התנהגותיות ממוקדות עשויות להיות מוצלחות" הוסיפה דר' או'טול.
במדינות כמו בריטניה, מעריכים כי מעל 30 אחוזים מהמבוגרים סובלים מארוזיה בשיניים, מחלה/תופעה אשר יכולה להוביל לאובדן חמור של אמייל דנטין לאורך זמן.
המחקר פורסם בבריטיש דנטל ג'ורנל ב 23 בפברואר 2018
BUFFALO, N.Y., ארה"ב: הזמן הטוב ביותר לזהות סימנים של דום נשימה חסימתי בשינה עשוי להיות לא ...
פוזנן, פולין: הפדרציה העולמית לרפואת שיניים ה FDI הודיע שרישום לכנס השנתי העולמי 2016 ...
שמונים וחמישה אחוז מכלל המטופלים מראים פגיעה באזור האורלי, זאת למרות שהאזור האורלי ...
נושא הפרסום תופס תאוצה בכל אמצעי המדיה. אנו מביאים סיכום דיון והחלטות שאומצו על ידי ...
ב-15 בפברואר 2023, קיימו בירושלים האקדמיה האירופית לרפואת שיניים לילדים והאגודה ...
יוהנסבורג, דרום אפריקה : ממצאים חדשים של חוקרים מ
Wits University’s Department of Community Dentistry/Faculty...
היום נחגג יום הנשים הבינלאומי. בשנת 2021 התפרסם בפייסבוק פוסט ובו טבלה המראה את התפלגות ...
במהלך מיני-סדרת הסמינרים המקוונת הקרובה, שהינה בת שלושה חלקים, רופאי שיניים עם התמחות ...
בייג 'ין, סין / ירושלים, ישראל: ביום 14 בנובמבר, נחתם הסכם מחקר בתחום הלייזר ברפואת ...
לאחרונה הופיעו במרשתת מאמרים ואתרים המדברים על “רפואת שיניים איטית” – SLOW DENTISTRY.
...
סמינר אינטרנטי בשידור חי
ג'. 19 מאי 2026
6:00 PM IST (Jerusalem)
סמינר אינטרנטי בשידור חי
ג'. 19 מאי 2026
8:00 PM IST (Jerusalem)
Prof. Dr. med. dent. Ivo Krejci
סמינר אינטרנטי בשידור חי
ד'. 20 מאי 2026
2:00 PM IST (Jerusalem)
Dr. Graham Carmichael BDSc (Hons), DClinDent (Pros), FRACDS, Dr. Robert Gottlander DDS
סמינר אינטרנטי בשידור חי
ד'. 20 מאי 2026
4:00 PM IST (Jerusalem)
סמינר אינטרנטי בשידור חי
ד'. 20 מאי 2026
6:00 PM IST (Jerusalem)
סמינר אינטרנטי בשידור חי
ד'. 20 מאי 2026
8:00 PM IST (Jerusalem)
Prof. Dr. med. dent. Tim Joda PhD, MSc, eMBA
סמינר אינטרנטי בשידור חי
ה'. 21 מאי 2026
7:00 PM IST (Jerusalem)
Dr. Leonardo Muniz DDS, MSC
To post a reply please login or register