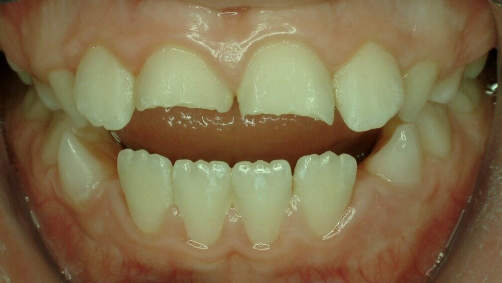
שמונים וחמישה אחוז מכלל המטופלים מראים פגיעה באזור האורלי, זאת למרות שהאזור האורלי מהווה רק 1% מכלל הגוף. פגיעות באזור האורלי מהוות כ 5% מכלל הפגיעות בגוף בכל הגילאים, ונטען כי בגילאי טרום בית הספר הפגיעות באזור האורלי מגיעות ל כ- 17%. בגלל חוסר סטנדרטיזציה ברישום ובמיון חבלות בשיניים, הן לא נכללו ברשימת 300 הפגיעות או המחלות הכרוניות החשובות ביותר.
מחקר שבוצע במטרה לספק הערכה גלובלית אמינה ככל האפשר לגבי השכיחות והיארעות של חבלות בשיניים במשנן הנשיר והקבוע ע"י סקירת ספרות שיטתית הראה כי מתוך 631 מחקרים שנסקרו רק 152 מחקרים עמדו בקריטריונים. תוצאות המחקר הראו כדלקמן:
שכיחות החבלות הגלובלית במשנן הקבוע:
בבדיקה נכללו 268755 פרטים, ממוצע הגילאים היה 13.8 שנים. השכיחות הממוצעת הייתה 15.2%. בבדיקה פיזור גיאוגרפי נראה כי השכיחות הגבוהה נמצאה באמריקה בכלל (19.1%). באזור הפסיפי המערבי נמצאה השכיחות הנמוכה ביותר (9.9%).
שכיחות החבלות גלובלית במשנן הנשיר:
בבדיקה נכללו 59436 פרטים, ממוצע הגילאים היה 3.4 שנים. השכיחות הממוצעת הייתה 22.7%.
השכיחות הגבוהה ביותר נמצאה בדרום אסיה (27%), והנמוכה ביותר נמצאה במערב אירופה (14.2%).
שכיחות החבלות בשיני ילדים בני 12 הייתה 18.1%. השכיחות הגבוהה ביותר הייתה באמריקה (22.1%) והנמוכה ביותר באפריקה ( 13.2%).
אשר להיארעות - שיעור ההיארעות הגלובלי היה 2.82 מקרים ל 100 אנשים לשנה.
לא היה הבדל בשיעורי ההיארעות בין שיניים קבועות לשיניים נשירות
הבדלים בין המינים:
בסך הכל נטען כי לגברים סיכוי רב יותר של 34-52% לחבלות מאשר לנשים.
לסיכום:
ניתן לומר כי חבלות בשיניים הינו תחום מוזנח שיכול להיות מדורג במקום החמישי ברשימת המחלות הכרוניות ואקוטיות התכופות ביותר.
המאמר נכתב על ידי סטפנו פטי וניתן למצוא אותו בכתב העת
Dental Traumatology
בגליון 34 עמ' 71-86, 2018
אחרי 1000 שנות הכרות ויותר מ 180 שנות שימוש וזיהום הסביבה אולי הגיע זמן להפרד. בני אדם ...
מילאנו, איטליה: היום( אוקטובר 16), התערוכה הראשונה לרפואת שיניים דיגיטלית (DDS) הושקה ב ...
COLOGNE, Germany: בשבוע שעבר, אלפי מבקרים נהרו לתערוכה דנטלית עולמית IDS. כמיטב המסורת Dental Tribune ...
סדרת מאמרים בשם "סוף להזנחת בריאות הפה" פורסמה בכתב העת הרפואי רב היוקרה Lancet. הסדרה ...
מורסיה, ספרד : מנתחי פה ולסת הדגימו את היישומים הרפואיים של משקפי גוגל, המשקפיים ...
ז׳נבה, שוויץ: היום הוא יום בריאות הפה העולמי (WOHD) ומדינות רבות בעולם חוגגות בריאות פה ...
נושא הפרסום תופס תאוצה בכל אמצעי המדיה. אנו מביאים סיכום דיון והחלטות שאומצו על ידי ...
ב-15 בפברואר 2023, קיימו בירושלים האקדמיה האירופית לרפואת שיניים לילדים והאגודה ...
יחד עם עששת שיניים ומחלת חניכיים, ארוזיה מדורגת בין שלושת מחלות השיניים הנפוצות ...
היום נחגג יום הנשים הבינלאומי. בשנת 2021 התפרסם בפייסבוק פוסט ובו טבלה המראה את התפלגות ...
סמינר אינטרנטי בשידור חי
ג'. 19 מאי 2026
6:00 PM IST (Jerusalem)
סמינר אינטרנטי בשידור חי
ג'. 19 מאי 2026
8:00 PM IST (Jerusalem)
Prof. Dr. med. dent. Ivo Krejci
סמינר אינטרנטי בשידור חי
ד'. 20 מאי 2026
2:00 PM IST (Jerusalem)
Dr. Graham Carmichael BDSc (Hons), DClinDent (Pros), FRACDS, Dr. Robert Gottlander DDS
סמינר אינטרנטי בשידור חי
ד'. 20 מאי 2026
4:00 PM IST (Jerusalem)
סמינר אינטרנטי בשידור חי
ד'. 20 מאי 2026
6:00 PM IST (Jerusalem)
סמינר אינטרנטי בשידור חי
ד'. 20 מאי 2026
8:00 PM IST (Jerusalem)
Prof. Dr. med. dent. Tim Joda PhD, MSc, eMBA
סמינר אינטרנטי בשידור חי
ה'. 21 מאי 2026
7:00 PM IST (Jerusalem)
Dr. Leonardo Muniz DDS, MSC
To post a reply please login or register