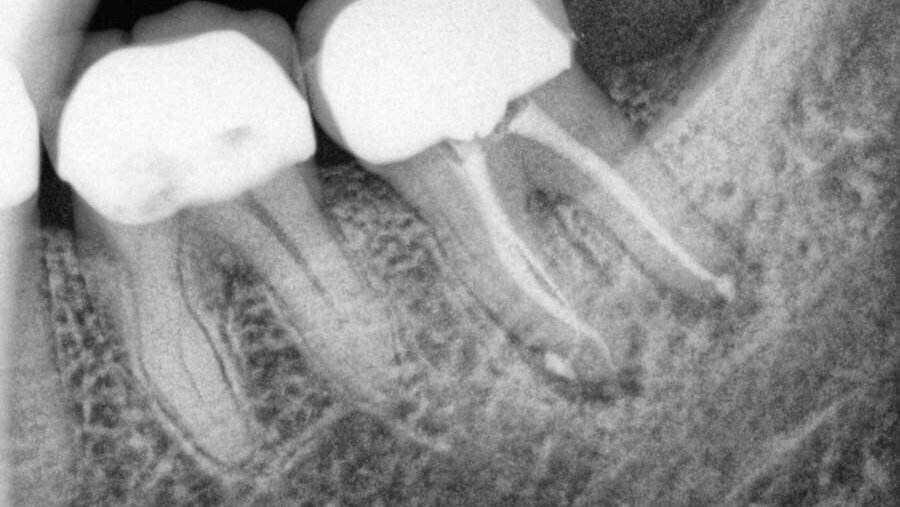
מטרת המחקר הייתה לבדוק השפעת הארכת כותרת ויחסי כותרת שורש על השרידות לטווח ארוך של שיניים עם טיפול שורש
חוקרים מקליבלנד, אוהיו, ביצעו מחקר רטרוספקטיבי על שיניים אחוריות קבועות שקיבלו טיפול שורש ושוחזרו באמצעות כתרים, עם או בלי הארכת כותרת
לאחר חמש שנים, שרידות שיניים ללא הארכת כותרת הייתה גבוהה משרידות השיניים עם הארכת כותרת אם כי לא בצורה משמעותית (89 אחוז לעומת 83 אחוז)
לאחר עשר שנים, שרידות השיניים ללא הארכת כותרת הייתה גבוהה בצורה משמעותית לעומת השיניים ללא הארכת כותרת (74.5 אחוז לעומת 51 אחוז). נמצא ששיניים עם טיפול שורש שעברו גם הארכת כותרת היו בסיכון גבוה פי 2.3 לעקירה לעומת שיניים שלא עברו הארכת כותרת
בנוסף, שיניים אחוריות עם יחסי כותרת-שורש לא תקינים (1:1) לאחר הארכת כותרת הראו את השרידות הנמוכה ביותר (40 אחוז) לעומת שיניים עם יחסי כותרת-שורש תקינים
מסקנת החוקרים הייתה שיחסי כותרת-שורש של 1:1 לאחר הארכת כותרת יכולים להשפיע על השרידות לטווח ארוך של שיניים עם טיפול שורש ויש להביא זאת החשבון בעת תכנון תכניות טיפול
המחקר
The Effect of Crown Lengthening on the Outcome of Endodontically Treated Posterior Teeth: 10-year Survival Analysis
נכתב על ידי
Patil K et al.
ופורסם בכתב בעת
Journal of Endodontics
בחודש אפריל 2019
מטרת המחקר הייתה לבדוק השפעת הארכת כותרת ויחסי כותרת שורש על השרידות לטווח ארוך של ...
ניוקאסל , בריטניה : על פי ארגון הבריאות העולמי, אובדן שיניים הינו נחלתם של כ 30 אחוזים ...
ברלין, גרמניה / אמסטרדם, הולנד: חוקרים בחנו מספר עשרות של שורשי שיניים באתר BESSY II , לפני ...
SHARNBROOK, בריטניה / ליידן, הולנד: מחקר חדש על אורח חיים ומראה מקושרבין גהות פה אישית טובה ...
לאחרונה התפרסם כי בוטלו כל הסדרי הביטוח הסיעודי הקיבוצי. גם חברי הר"ש קיבלו הודעות על ...
דאלאס, ארה"ב: הקיסם הוא כלי ניקוי שיניים הוותיק ביותר ונמצא בשימוש מאז בני אדם ...
וושינגטון, ארה"ב: על פי דיווח שפורסם לאחרונה, מספר סטודנטים לרפואת שיניים בשנה ...
מחקר שסקר 1132 מאמרים בדק את ההשפעה של איבופרופן בהשוואה לתרופות אחרות, על עצמת הכאב ...
לפני מספר שנים, רופאת שיניים אוסטרליות ד"ר סיגל יעקובסון, זיהתה חסר בשוק דנטלי. היא ...
הספרות מראה כי רופאי שיניים נוטים לתת אנטיביוטיקה ביתר, ולא תמיד רושמים את התרופה ...
סמינר אינטרנטי בשידור חי
ה'. 23 אפריל 2026
7:30 PM IST (Jerusalem)
סמינר אינטרנטי בשידור חי
ה'. 23 אפריל 2026
8:00 PM IST (Jerusalem)
סמינר אינטרנטי בשידור חי
ה'. 30 אפריל 2026
2:00 AM IST (Jerusalem)
Dr. Renato Leonardo D.M.D.
סמינר אינטרנטי בשידור חי
ה'. 30 אפריל 2026
8:00 PM IST (Jerusalem)
סמינר אינטרנטי בשידור חי
א'. 3 מאי 2026
7:00 PM IST (Jerusalem)
Dr. Rickard Brånemark MSc, MD, PhD, Dr. Robert Gottlander DDS
סמינר אינטרנטי בשידור חי
ב'. 4 מאי 2026
3:00 AM IST (Jerusalem)
סמינר אינטרנטי בשידור חי
ג'. 5 מאי 2026
5:00 PM IST (Jerusalem)