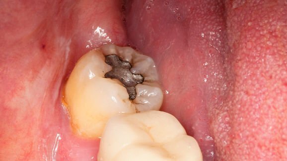
Championsgate , פלורידה , ארה”ב: האקדמיה הבינלאומית לרפואת פה וטוקסיקולוגיה ( IAOMT ) ,ארגון בריאות ללא מטרות רווח הדוגל cרפואת שיניים ללא כספית , פרסם את הדו"ח החדש על ביטיחות האמלגם. בין היתר, הדו"ח מצביע על כך שסתימות אמלגם עלולות לגרום לרעילות כספית באוכלוסיות רגישות מבחינה גנטית .
לדברי IAOMT , אמלגם מכיל עד 50 אחוזים כספית. למרות שפעם היה נהוג לחשוב שאמלגם הינו חומר אינרטי, רשויות בריאות ברחבי העולם, כולל רשות המזון והתרופות האמריקנית ,הכירו בכך שאמלגם כן משחרר רמות נמוכות של אדי כספית. מאז, מחקרים רבים ניסו לקבוע האם רמות אלו בטוחות .
לדוגמא, מחקרים בבעלי חיים וניסויים בבני אדם הראו כי אדי כספית מאמלגם נספגים במהירות מופצים בכל הגוף ןלבסוף מתרכזים באיברים. אדי כספית גם עוברים לחלב אם. בנוסף, חלק מהמחקרים הראו כי רגישות לרעילות כספית שונה בין אנשים ותלויה בגנים רבים. בדו"ח, IAOMT ציין כי בעשור האחרון זוהו לפחות שישה שילובים גנטיים המעבירים רגישות מוגברת לרעילות כספית המצויה באמלגם. עם זאת, עדיין לא כל הגנים הגורמים לרגישות זו.
"ממצאים אלה עשויים לסייע להסביר את המחלוקת בנושא נזקי אמלגם: מדוע אנשים מסוימים נפגעים להיפגע מכספית המשתחררת מאמלגם, בעוד שאחרים לא ומדוע מחקרים בתחום זה הראו תוצאות לא עקביות, מה שהוביל רשויות להניח כי המוצר בטוח ", הצהיר IAOMT בהודעה לעיתונות .
כיום , נעשה מאמצים בכל העולם להקטין או לבטל את השימוש באמלגם. נורווגיה ושוודיה, למשל, כבר אסרו על השימוש באמלגם, ובגרמניה וקנדה מייעצת לא להשתמש באמלגם בנשים בהיריון ובילדים. בסתיו שנה שעברה (2013), נחתמה אמנת Minamata בנושא כספית, אמנה בינלאומית ביוזמת תכנית איכות הסביבה של האו"ם להפחתת פליטה ושיחרור המתכת הרעילה לאוויר, קרקע ומים ואיסור שימוש במוצרים רבים המכילים כספית. . מאז 2013 אוקטובר 94 מדינות חתמו על האמנה .
הדו"ח , שכותרתו “New Science Challenges Old Notion that Mercury Dental Amalgam is Safe", פורסם בגיליון פברואר של כתב עת Biometals .
OAR BROOK,III., USA: חרדה דנטלית נפוצה מאוד באוכלוסיות רבות בעולם. מתח ואפילו חרדה קיצונית ...
חיפה, ישראל: בדיקה של 100 שתלים שנכשלו מבחינה ביולוגית מצאה כי יותר מ60 אחוזים של שתלים ...
הפגישה התת אזורית של פעילי אמנת מינמטה נגד שימוש בכספית בעיר שנערכה לאחרונה בעיר ...
אן ארבור, מישיגן, ארה"ב / ניוקאסל, בריטניה:. L- ארגינין, חומצת אמינו טבעית המצויה ...
עמאן, ירדן: מעל 550 נציגים התאספו בירדן במושב השביעי של הוועדה הבין ממשלתית הנושאת ...
זה זמן רב מרמזות עדויות שללגימת יין אדום יש מספר יתרונות בריאותיים לגוף, אולי בגלל ...
העונה השלישית של סדרת ההרצאות Digital Excellence Series היא שורה של תוכניות מקוונות המוגשות כדי ...
וושינגטון, ארה"ב: על פי דיווח שפורסם לאחרונה, מספר סטודנטים לרפואת שיניים בשנה ...
ניוקאסל , בריטניה : על פי ארגון הבריאות העולמי, אובדן שיניים הינו נחלתם של כ 30 אחוזים ...
SHARNBROOK, בריטניה / ליידן, הולנד: מחקר חדש על אורח חיים ומראה מקושרבין גהות פה אישית טובה ...
סמינר אינטרנטי בשידור חי
ג'. 19 מאי 2026
6:00 PM IST (Jerusalem)
סמינר אינטרנטי בשידור חי
ג'. 19 מאי 2026
8:00 PM IST (Jerusalem)
Prof. Dr. med. dent. Ivo Krejci
סמינר אינטרנטי בשידור חי
ד'. 20 מאי 2026
2:00 PM IST (Jerusalem)
Dr. Graham Carmichael BDSc (Hons), DClinDent (Pros), FRACDS, Dr. Robert Gottlander DDS
סמינר אינטרנטי בשידור חי
ד'. 20 מאי 2026
4:00 PM IST (Jerusalem)
סמינר אינטרנטי בשידור חי
ד'. 20 מאי 2026
6:00 PM IST (Jerusalem)
סמינר אינטרנטי בשידור חי
ד'. 20 מאי 2026
8:00 PM IST (Jerusalem)
Prof. Dr. med. dent. Tim Joda PhD, MSc, eMBA
סמינר אינטרנטי בשידור חי
ה'. 21 מאי 2026
7:00 PM IST (Jerusalem)
Dr. Leonardo Muniz DDS, MSC
To post a reply please login or register