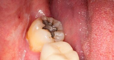
חיפה, ישראל: בדיקה של 100 שתלים שנכשלו מבחינה ביולוגית מצאה כי יותר מ60 אחוזים של שתלים אלה הראו סימנים של ליקויים מכאניים, כגון פגמים כמו סדק וסדקים מלאים. בפרסום תוצאות אלה, החוקרים שואפים לעודד יצרני שתלים דנטליים ורופאי שיניים למצוא דרכים להפחית את הנזק המבני המתרחש כאשר מתכת כפופה להעמסות חוזרות ונישנות.
במסגרת המחקר, החוקרים בדקו 100 שתלים שכשלו בשל פרי implantitis ועשויים סגסוגת טיטניום ומסחרי או טיטניום טהור וזאת באמצעות ניתוח אנרגית רנטגן נפיצה ומיקרוסקופ סורק אלקטרוני. הם מצאו פגמים מכאניים ב -62 אחוזים מהדגימות. בנוסף, הבדיקה הראתה כי בשתלי טיטניום טהור יש יותר סדקים מאשר בשתלי סגסוגת טיטניום.
“נראה שחלקיקים משובצים מקושרים להווצרות ליקויים במשטח שמתפתחים לסדקים מלאים, אומרת ד"ר קרן שמטוב-יונה, חוקרת בתחום רפואת שיניים בטכניון - המכון הטכנולוגי לישראל, שערכה את המחקר כחלק מלימודי תואר מאסטר (MA ). יתר על כן, הבלאי של שימוש יומיומי עשוי גם לתרום לפוטנציאל של פגמי ייצור להתפתח לסדקים ולאחר מכן להוביל לכישלון של החומר, הדגישו החוקרים. כמו כן, נמצא כי לרוחב ואורך של שתלים שונים במחקר זה לא היה קשר עם הליקויים שנצפו.
שמטוב-יונה נערכת למחקרים נוספים בנושא כדי לחקור את הסיבות להתפתחות סדקים, כדי לקבוע אם הסיבות לכשל הן בייצור, שימוש או שניהם.
המחקר, שכותרתו "שלמות מכאנית של שתלים שהוצאו", פורסם בגיליון ספטמבר של Journal of the Mechanical Behavior of Biomedical Materials.
יוהנסבורג, דרום אפריקה : ממצאים חדשים של חוקרים מ
Wits University’s Department of Community Dentistry/Faculty...
Championsgate , פלורידה , ארה”ב: האקדמיה הבינלאומית לרפואת פה וטוקסיקולוגיה ( IAOMT ) ,ארגון ...
דאגו, דרום קוריאה: למרות הופעת חלופות שוות ערך בעשור האחרון, אמלגם נותר בשימוש כחומר ...
דבלין, אירלנד: עם פרסומו של הסכם שנחתם בין הנובל ביוקר Nobel Biocare ו Danaher מארה״ב בשבוע שעבר,...
אן ארבור, מישיגן, ארה"ב / ניוקאסל, בריטניה:. L- ארגינין, חומצת אמינו טבעית המצויה ...
לונדון, בריטניה: על פי מחקרים אחרונים, למידה אלקטרונית יכולה לאפשר הדרכה לעוד מיליוני ...
מחקר שפורסם בכתב עת לרפואת שיניים Journal of Dentistry מאשר כי מערכות ההדמיה iTero Element 5D ו- 5D Plus* ...
אוסטין, טקסס, ארצות הברית: מחקרים על Microbiome האדם הראו כי שינוי באוכלוסית חיידקי פה ...
אופסלה , שוודיה :ההצלחה של שתלים דנטליים ואורתופדיים תלויה במידה רבה בהשתלבותם ברקמת ...
זה זמן רב מרמזות עדויות שללגימת יין אדום יש מספר יתרונות בריאותיים לגוף, אולי בגלל ...
סמינר אינטרנטי בשידור חי
ג'. 19 מאי 2026
6:00 PM IST (Jerusalem)
סמינר אינטרנטי בשידור חי
ג'. 19 מאי 2026
8:00 PM IST (Jerusalem)
Prof. Dr. med. dent. Ivo Krejci
סמינר אינטרנטי בשידור חי
ד'. 20 מאי 2026
2:00 PM IST (Jerusalem)
Dr. Graham Carmichael BDSc (Hons), DClinDent (Pros), FRACDS, Dr. Robert Gottlander DDS
סמינר אינטרנטי בשידור חי
ד'. 20 מאי 2026
4:00 PM IST (Jerusalem)
סמינר אינטרנטי בשידור חי
ד'. 20 מאי 2026
6:00 PM IST (Jerusalem)
סמינר אינטרנטי בשידור חי
ד'. 20 מאי 2026
8:00 PM IST (Jerusalem)
Prof. Dr. med. dent. Tim Joda PhD, MSc, eMBA
סמינר אינטרנטי בשידור חי
ה'. 21 מאי 2026
7:00 PM IST (Jerusalem)
Dr. Leonardo Muniz DDS, MSC
To post a reply please login or register