אופסלה , שוודיה :ההצלחה של שתלים דנטליים ואורתופדיים תלויה במידה רבה בהשתלבותם ברקמת עצם סמוכה. קבוצת מחקר מאוניברסיטת אופסלה בשוודיה פיתחה ציפוי חדש שהוכח כמשפר את האינטגרציה לתוך עצם ומונע דחייה של שתלים .
ניסויים ראשוניים שנערכו במכון לאואה - נגווין ,מרכז מחקר בינלאומי שבסיסה בגרנובל בצרפת, הוכיחו כי משטחי תחמוצת טיטניום מצופים bisphosphonate-modified hyaluronan gel נקשרים לחלבון מורפוגני, שלאחר מכן משחרר באופן נשלט כאשר פני השטח באים במגע עם תמיסה של יוני סידן . לדברי החוקרים , תהליך זה יכול לעודד את הצמיחה של עצם סביב השתל .
נכון לעכשיו החוקרים מתכננים לבדוק חומרים דומים לשתלי מתכת בניסויים להעביר את התוצאות ליישום קליני .
"אנו חוזים כי החומרים יהיו בשימוש ברפואה לווסת את תהליך ריפוי עצם בעתיד", אמר פרופ ' דמיטרי אוסיפוב , מחבר מחקר ופרופ׳ באוניברסיטה.
המחקר, שכותרתו " Polymeric smart coating strategy for titanium implants " , פורסם בגיליון מרץ של כתב העת מתקדם להנדסת חומרים - Advanced Engineering Materials journal
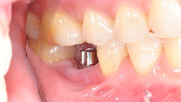
חיפה, ישראל: בדיקה של 100 שתלים שנכשלו מבחינה ביולוגית מצאה כי יותר מ60 אחוזים של שתלים ...
מחקר שפורסם בכתב עת לרפואת שיניים Journal of Dentistry מאשר כי מערכות ההדמיה iTero Element 5D ו- 5D Plus* ...
פתח-תקוה, ישראל. האתר החדשני מכיל את כלל המידע הנדרש לרופא, וכולל מידע טכני לצד מידע ...
קולומביה, מיזורי, ארה"ב: מנהל המזון ותרופות אישר לאחרונה חומר מרוכב נזיל Flow NovaPro ...
ז׳נבה, שוויץ: היום הוא יום בריאות הפה העולמי (WOHD) ומדינות רבות בעולם חוגגות בריאות פה ...
ד"ר יצחק חן הודיע בימים אלה על רצונו לסיים את כהונתו כיו"ר הר"ש לאחר עשרים ושמונה שנות ...
MANASSAS, Va ארה"ב: בשיתוף פעולה עם שני מוסדות מדעיים בארה"ב, חברת ביוטכנולוגיה Ceres ...
באזל, שוויץ / בר לב פארק תעשיות, ישראל: כפי שדווח באינטרנט על יד בלומברג עסקים, נכון ...
דבלין, אירלנד: עם פרסומו של הסכם שנחתם בין הנובל ביוקר Nobel Biocare ו Danaher מארה״ב בשבוע שעבר,...
GENEVA,Switzerland: בהתקרב יום בריאות פה עולמי, מדינות שונות מתכוננות לחגוג את נושא ה ״חיוך לכל...
סמינר אינטרנטי בשידור חי
ג'. 19 מאי 2026
6:00 PM IST (Jerusalem)
סמינר אינטרנטי בשידור חי
ג'. 19 מאי 2026
8:00 PM IST (Jerusalem)
Prof. Dr. med. dent. Ivo Krejci
סמינר אינטרנטי בשידור חי
ד'. 20 מאי 2026
2:00 PM IST (Jerusalem)
Dr. Graham Carmichael BDSc (Hons), DClinDent (Pros), FRACDS, Dr. Robert Gottlander DDS
סמינר אינטרנטי בשידור חי
ד'. 20 מאי 2026
4:00 PM IST (Jerusalem)
סמינר אינטרנטי בשידור חי
ד'. 20 מאי 2026
6:00 PM IST (Jerusalem)
סמינר אינטרנטי בשידור חי
ד'. 20 מאי 2026
8:00 PM IST (Jerusalem)
Prof. Dr. med. dent. Tim Joda PhD, MSc, eMBA
סמינר אינטרנטי בשידור חי
ה'. 21 מאי 2026
7:00 PM IST (Jerusalem)
Dr. Leonardo Muniz DDS, MSC
To post a reply please login or register