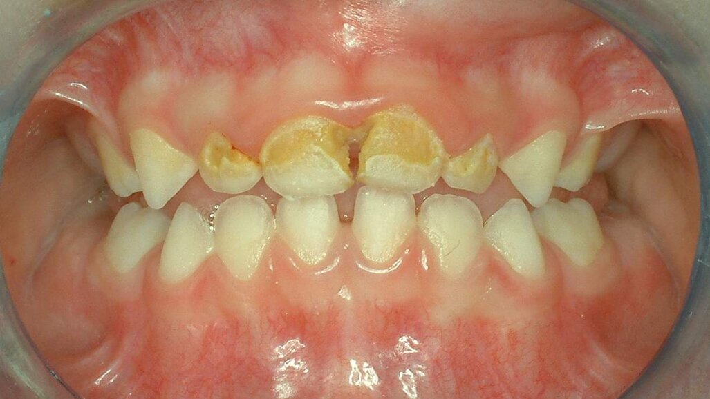
סילבר-דיאמין-פלואוריד הוא חומר שהוצע לאחרונה לטיפול בעששת בילדים עם סיכון גבוה לעששת, עם נגעי עששת פתוחים בשיניים קדמיות או אחוריות, שאינם יכולים לקבל טיפול מסורתי לעששת. הנחת החומר מתבצעת ללא סילוק עששת כלשהו.
יש לזכור כי נגעי עששת עמוקים עם מעורבות מוך, או שצפויה חשיפת המוך עם סילוק העששת מהווים התווית נגד לטיפול בחומר. כמו כן, חל איסור להשתמש בחומר במטופלים הרגישים לתרכובות כסף.
בהנחתו פעמיים בשנה, החומר אפקטיבי בעצירת עששת ומניעת נגעים חדשים בשיניים במקומות בהם מונח, ובעידן של התערבות מינימלית זהו טיפול בטוח שיכול להתקבל.
לצד היתרונות שנותן החומר, יש לחומר חסרון בולט: הוא צובע את נגעי העששת באמייל ובדנטין באופן קבוע ללא אפשרות הורדה. חסרון נוסף - במגע עם העור, הוא גורם לצביעה דמויית קעקוע חינה (אך צביעה זו חולפת כעבור כ-14 ימים).
החומר מהווה כלי נוסף בארסנל האמצעים שבידי רופא השיניים לצד תכשירי הפלואוריד השונים או יונומר הזכוכית.
סילבר-דיאמין-פלואוריד הוא חומר שהוצע לאחרונה לטיפול בעששת בילדים עם סיכון גבוה לעששת,...
הטיפול הקונבנציונאלי בנגעי עששת מורכב מהסרה מלאה של הרקמה העששתית ולאחר מכן שחזור ...
בסל הבריאות נמצא הטיפול בשיניים עם פגמים מולדים במומר השן ובכלל זה אמלוגנזיס ...
ברגן, נורבגיה: סימפטומים נפוצים של סינדרום סיוגרן הם כאבי שרירים, יובש פה, עייפות ...
לוצרן, שווייץ: בהזמנות לכנס השישי של Swiss Biomaterial Days הדגיש היו״ר, Prof. Lukerath את חובתם של ...
טיפול אלטרנטיבי כאקופונקטורה נמצא יעיל בטיפול ביובש פה, חרדה דנטלית וברפלקס הקאה
ביום חמישי, 27/10/22 התקיים בפקולטה לרפואת שיניים בהדסה הכנס הבינלאומי הראשון בישראל ...
טיפולי בלייזר רך (מופחת עוצמה) אינו קונספט חדש לרוב רופאי שיניים כיוון שרבים משלבים ...
לוס אנג'לס, ארה"ב: נוזל רוק הפך בשנים אחרונות למדיום חדשני לגילוי מחלות פה ומחלות ...
סדרת מאמרים בשם "סוף להזנחת בריאות הפה" פורסמה בכתב העת הרפואי רב היוקרה Lancet. הסדרה ...
סמינר אינטרנטי בשידור חי
ג'. 19 מאי 2026
6:00 PM IST (Jerusalem)
סמינר אינטרנטי בשידור חי
ג'. 19 מאי 2026
8:00 PM IST (Jerusalem)
Prof. Dr. med. dent. Ivo Krejci
סמינר אינטרנטי בשידור חי
ד'. 20 מאי 2026
2:00 PM IST (Jerusalem)
Dr. Graham Carmichael BDSc (Hons), DClinDent (Pros), FRACDS, Dr. Robert Gottlander DDS
סמינר אינטרנטי בשידור חי
ד'. 20 מאי 2026
4:00 PM IST (Jerusalem)
סמינר אינטרנטי בשידור חי
ד'. 20 מאי 2026
6:00 PM IST (Jerusalem)
סמינר אינטרנטי בשידור חי
ד'. 20 מאי 2026
8:00 PM IST (Jerusalem)
Prof. Dr. med. dent. Tim Joda PhD, MSc, eMBA
סמינר אינטרנטי בשידור חי
ה'. 21 מאי 2026
7:00 PM IST (Jerusalem)
Dr. Leonardo Muniz DDS, MSC