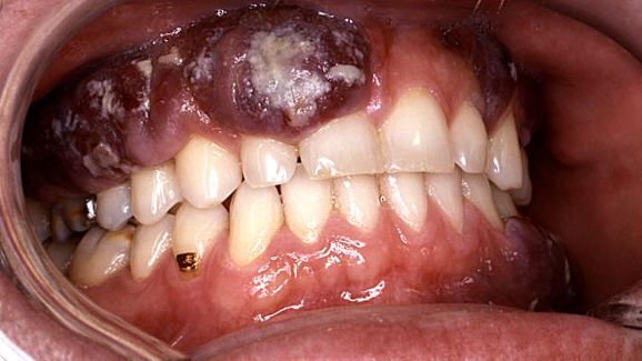
קליבלנד, ארה"ב : פתוגנים פריודנטליים כגון Porphyromonas gingivalis וFusobacterium nucleatum מייצרים חמש חומצות שומן קצרות שרשרת שונות כתוצרי לוואי של חילוף חומרים. חוקרים באוניברסיטת קייס ווסטרן ריזרב בארה"ב מצאו כי חומצות אלו עלולות לעורר את הצמיחה של נגעים וגידולים בחלל הפה .
לממצאים עשויים להיות השלכות חשובות עבור חולים עם HIV חיובי ואיידס בפרט , כי כ 20 אחוזים מהחולים ב-HIV מפתחים נגעים מסוג סרקומה של קפוסי ( Kaposi Sarcoma ) בחלל הפה , אשר יכול להתפתח לגידולים ממאירים.
למרות שלא ידוע מה תפקידה של מיקרו סביבה של הפה בהתפתחות גידול KS אוראלי, המחקר הראה כי חומצות שומן קצרות שרשרת מ P. gingivalis ו F nucleatum עשויות לקדם שכפול של וירוס ההרפס הקשורים - ל (KS ) ,אשר הינו הסוכן האטיולוגי הקשור KS , הסביר חוקר ראשי ד"ר Ye Fengchun .
במסגרת המחקר,החוקרים העריכו את בריאות החניכיים של 21 חולים וחקרו דגימות הרוק שלהם. אחד עשרה חולים ( גיל ממוצע של 50 ) אובחנו עם מחלת חניכיים כרונית קשה וkעשרה משתתפים ( גיל ממוצע של 26 ) היו חניכיים בריאים. בסך הכל , החוקרים גילו רמות גבוהות יותר באופן משמעותי של חומצות שומן קצרות שרשרת ברוק של חולים עם מחלת חניכיים חמורה וציינו כי חומצות השומן אפשרו ל KSHV להתרבות.
בנוסף , הם מצאו כי תהליך זה מעכב על מולקולות במערכת החיסונית של הגוף מבלימת הצמיחה של הנגיף.
החוקרים מאמינים כי גילוי זה עלול להוביל לבדיקות רוק מוקדם לחיידקים כדי לאפשר טיפול מוקדם וניטור סימנים של סרטן בחולים בסיכון.
לצד חולי איידס , KS משפיע על אוכלוסיות אחרות עם מערכת חיסונית מורכבת , כגון אנשים על תרופות כדי לדכא את דחיית השתלות, חולי סרטן בכימותרפיה וקשישים , על פי החוקרים.
המחקר, שכותרתו " Short Chain Fatty Acids From Periodontal Pathogens Suppress HDACs, EZH2, to Promote Kaposi's Sarcoma-Associated Herpesvirus Replication ", פורסם באינטרנט ב -5 בפברואר בכתב העת של וירולוגיה לפני ההדפסה .
סיאטל, ארה"ב : חוקרים בבית הספר לרפואת השיניים באוניברסיטת וושינגטון קיבלו אישור ...
אוסטין, טקסס, ארצות הברית: מחקרים על Microbiome האדם הראו כי שינוי באוכלוסית חיידקי פה ...
ברמן, גרמניה : מחקרים רבים קשרו עישון ושתייה של משקאות אלכהליים מופרזת להתפתחות של ...
ברשיה, איטליה : חוקרים איטלקים מצאו שתל דנטלי שטייל לתוך חלל הסינוס שלאישה בת 57, ...
אוניברסיטת פארק, פן, ארה"ב: למרות שהימצאותם של פוליפנולים בתה, הוכחה כמעכבת ...
ירושלים, ישראל: בכל שנה, זיהומים עמידים לתרופות הורגים יותר מ -50,000 אנשים ברחבי אירופה ...
מורסיה, ספרד : מנתחי פה ולסת הדגימו את היישומים הרפואיים של משקפי גוגל, המשקפיים ...
העונה השלישית של סדרת ההרצאות Digital Excellence Series היא שורה של תוכניות מקוונות המוגשות כדי ...
ז'נבה, שוויץ: FDI, הפדרציה העולמית לרפואת שיניים הודיעה כי Mouth Mad, משחק סמארטפון חדש עבור...
בנגקוק, תאילנד: היום, ה FDI הוציא לאור את המהדורה השנייה של אטלס בריאות הפה, בקונגרס ...
סמינר אינטרנטי בשידור חי
ג'. 19 מאי 2026
6:00 PM IST (Jerusalem)
סמינר אינטרנטי בשידור חי
ג'. 19 מאי 2026
8:00 PM IST (Jerusalem)
Prof. Dr. med. dent. Ivo Krejci
סמינר אינטרנטי בשידור חי
ד'. 20 מאי 2026
2:00 PM IST (Jerusalem)
Dr. Graham Carmichael BDSc (Hons), DClinDent (Pros), FRACDS, Dr. Robert Gottlander DDS
סמינר אינטרנטי בשידור חי
ד'. 20 מאי 2026
4:00 PM IST (Jerusalem)
סמינר אינטרנטי בשידור חי
ד'. 20 מאי 2026
6:00 PM IST (Jerusalem)
סמינר אינטרנטי בשידור חי
ד'. 20 מאי 2026
8:00 PM IST (Jerusalem)
Prof. Dr. med. dent. Tim Joda PhD, MSc, eMBA
סמינר אינטרנטי בשידור חי
ה'. 21 מאי 2026
7:00 PM IST (Jerusalem)
Dr. Leonardo Muniz DDS, MSC
To post a reply please login or register