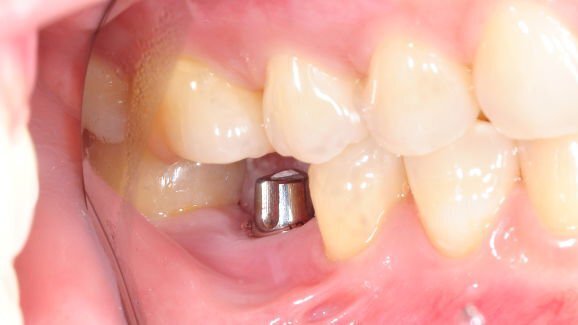
BIRMINGHAM,Ala., USA: כיום, רופאי שיניים כלליים בארה״ב ובאזורים נוספים בעולם מעניקים במרפאותיהם מגוון רחב של טיפולים. למרות זאת, רק מחקרים בודדים בדקו מה הם סוגי הטיפולים הנפוצים ביותר המבוצעים על ידי קבוצה זו. עכשיו מחקר חדש מגלה שטיפולים משקמים ללא שתלים, הליכים אסתטיים ועקירות הינם הטיפולים המבוצעים לרוב על ידי רופאי שיניים כלליים. מעל 60 אחוז מהם מבצעים גם שתלים דנטליים.
במטרה להגדיר 10 טיפולים נפוצים ביותר במרפאת שיניים, נאסף מידע באמצעות שאלונים מ 2367 רופאי שיניים כלליים החברים בקבוצת U.S. National Dental Practice-Based Research Network .
רוב המשתתפים טענו שהם מבצעים שיקום ללא שתלים (96%), טיפולים אסתטיים (59%), ועקירות (64%) באופן רוטיני. כמעט 60% הודיעו שהם מבצעים גם טיפולי שורש. טיפולים אורטודונטיים ופריודונטיים לא היו שכיחים אצל שני שליש מהנשאלים אך מעל 60% ציינו שהם מבצעים שתלים באופן רוטיני או מדי פעם.
מחקר מצא גם שרופאי שיניים גברים מבצעים יותר טיפולי שורש, שתלים ופעולות כירוגיות פריודנטליות מאשר עמיתיהם הנשים.
לטענת החוקרים, שכיוון שמספר משמעותי של רופאים שרואיינו דיווחו שהם מבצעים טיפולי שורש וטיפולי חניכיים לפחות מדי פעם, יתכן שהענקת טיפולים אלה זה אמצעי להתאמת דרישות המטופלים ולהמצאות או לא של מומחים באזור.
״ממצאים אלה ניתן לפרש כתגובת רופאי שנינים לשינויים כלכליים וצריכת שירות דנטלי, דמוגרפיה של אוכלוסית מטופלים, מיקוד המרפאה, שינוים בדרך הענקת טיפולים, נגישות לטיפול ותפקידם בהענקת טיפול ראשוני״ הסיקו החוקרים.
מחקר ושמו "Provision of Specific Dental Procedures by General Dentists in the National Dental Practice-Based Research Network: Questionnaire Findings,” התפרסם באופן מקוון במגזין BMC Oral Health. המחקר נערך על ידי חוקרים מאוניברסיטת Alabama בבירמינגהם בשיתוף עם מוסדות מדעיים נוספים ברחבי ארה״ב.
הסכם הבנות ושיתוף פעולה נחתם בין הר”ש לבין ארגון רופאי השיניים האיטלקיים – אנדו
...
דבלין, אירלנד: עם פרסומו של הסכם שנחתם בין הנובל ביוקר Nobel Biocare ו Danaher מארה״ב בשבוע שעבר,...
מחקר בשאלה זו נערך בגרמניה על ידי חוקרים, רופאי שיניים מאוניברסיטת לייפציג, והתבסס על ...
ברלין, גרמניה: מוטיבציה ומטרות של רופאי שיניים גברים ונשים בגרמניה, ובכך יש להניח גם ...
עישון מהווה סיכון בריאותי ידוע, הן לבריאות הכללית והן לבריאות הפה. ידוע כי עישון גורם ...
הספרות מראה כי רופאי שיניים נוטים לתת אנטיביוטיקה ביתר, ולא תמיד רושמים את התרופה ...
שיקגו, אילינוי, ארה"ב / ז'נבה, שוויץ: האיגוד האמריקאי לרפואת השיניים הודיעה על שביעות...
האם יש צורך לארגן שביתת רופאי שיניים במרפאות קופ"ח?
ע"פ הנתונים שפורסמו כאילו ...
בייג 'ין, סין / ירושלים, ישראל: ביום 14 בנובמבר, נחתם הסכם מחקר בתחום הלייזר ברפואת ...
בנגקוק, תאילנד: בעוד משתתפי הקונגרס השנתי העולמי הדנטלי (AWDC), כאן בבנגקוק, עוסקים ...
סמינר אינטרנטי בשידור חי
ג'. 19 מאי 2026
6:00 PM IST (Jerusalem)
סמינר אינטרנטי בשידור חי
ג'. 19 מאי 2026
8:00 PM IST (Jerusalem)
Prof. Dr. med. dent. Ivo Krejci
סמינר אינטרנטי בשידור חי
ד'. 20 מאי 2026
2:00 PM IST (Jerusalem)
Dr. Graham Carmichael BDSc (Hons), DClinDent (Pros), FRACDS, Dr. Robert Gottlander DDS
סמינר אינטרנטי בשידור חי
ד'. 20 מאי 2026
4:00 PM IST (Jerusalem)
סמינר אינטרנטי בשידור חי
ד'. 20 מאי 2026
6:00 PM IST (Jerusalem)
סמינר אינטרנטי בשידור חי
ד'. 20 מאי 2026
8:00 PM IST (Jerusalem)
Prof. Dr. med. dent. Tim Joda PhD, MSc, eMBA
סמינר אינטרנטי בשידור חי
ה'. 21 מאי 2026
7:00 PM IST (Jerusalem)
Dr. Leonardo Muniz DDS, MSC
To post a reply please login or register